Ο HPV ιός είναι DNA ιός και περιλαμβάνει περίπου 200 υπότυπους. Ανάλογα με τον τροπισμό τους ταξινομούνται σε δερματοτροπικούς και βλεννογονοτροπικούς ιούς.

Ανάλογα με το ογκογόνο δυναμικό τους ταξινομούνται σε ογκογόνους  (HPV 16, 18) και μη ογκογόνους (HPV 1, 6 11) υπότυπους.

Ο συνηθέστερος τρόπος μετάδοσης τους είναι η άμεση επαφή με μολυσματική βλάβη. Δεν είναι εύκολο να διαπιστωθεί πότε έγινε η πρώτη λοίμωξη γιατί ο ιός μπορεί να παραμένει για μεγάλο χρονικό διάστημα στον οργανισμό πριν προκαλέσει ορατές βλάβες.

Στη στοματική κοιλότητα προκαλούνται βλάβες από μη ογκογόνους υπότυπους όπως θηλώματα και κονδυλώματα αλλά και από ογκογόνους υπότυπους όπως ακανθοκυτταρικό καρκίνωμα που εντοπίζεται στο οπίσθιο τμήμα της στοματικής κοιλότητας και στο στοματοφάρυγγα.

Η διάγνωση συνήθως είναι κλινική αλλά απαιτείται και ιστολογική επιβεβαίωση και ανοσοϊστοχημικές χρώσεις για την αναγνώριση των ιικών πρωτεϊνών.

Ο προσδιορισμός του γονότυπου του ιού είναι δυνατός.

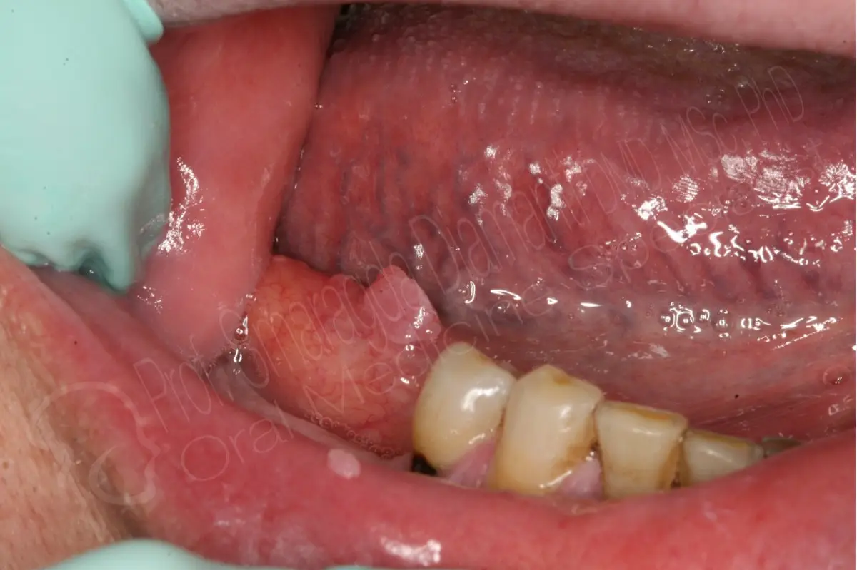
Θήλωμα

Το θήλωμα είναι η συνηθέστερη βλάβη από HPV που ανευρίσκεται στη στοματική κοιλότητα.

Οι  συνηθέστεροι γονότυποι που έχουν απομονωθεί είναι οι HPV 6 και 11.

Στη στοματική κοιλότητα εμφανίζεται ως εξωφυτικό ογκίδιο έμμισχο ή σε ευρεία βάση μικρών διαστάσεων, λευκού χρώματος με επιφάνεια ανθοκραμβοειδή. Προσβάλλει οποιοδήποτε σημείο του στοματικού βλεννογόνου αλλά προτιμά την υπερώα, τη γλώσσα και τα χείλη.

Πολλαπλές βλάβες σε διαφορετικά ή γειτονικά σημεία μπορούν επίσης να παρατηρηθούν.

Η βλάβη είναι ασυμπτωματική.

Η θεραπεία τους είναι η χειρουργική αφαίρεση με τη χρήση νυστεριού ή laser.

Στο ιατρείο μας προτιμούμε την αφαίρεση των θηλωμάτων με τη χρήση laser λόγω των πλεονεκτήματων  που παρουσιάζουν όπως ελάχιστη αιμορραγία, γρηγορότερη επούλωση, ελαχιστοποίηση πόνου και οιδήματος.

Οξυτενές Κονδύλωμα

Είναι η πιο κοινή σεξουαλικά μεταδιδόμενη λοίμωξη.

Η συχνότητα εμφάνισης στη στοματική κοιλότητα είναι πιο σπάνια σε σχέση με τα γενετικά όργανα.

Οι  συνηθέστεροι γονότυποι που έχουν απομονωθεί είναι οι HPV 6 και 11 αλλά υπάρχει πιθανότητα συλλοίμωξηςμε υψηλού κινδύνου στελέχη όπως HPV 16 και 18.

Μπορεί να εμφανισθούν σε οποιοδήποτε σημείο του στοματικού βλεννογόνου με συνηθέστερες θέσεις εντόπισης την υπερώα, τη γλώσσα και τα χείλη. Μπορεί να είναι πολλαπλά συνενωμένα ή μονήρη.

Η κλινική τους εικόνα είναι  με τη μορφή εξωφυτικού ογκιδίου το οποίο μπορεί να είναι έμμισχο ή σε ευρεία βάση, μικρών διαστάσεων, λευκού ή ροζ χρώματος με επιφάνεια ανθοκραμβοειδή, θηλωματώδη ή αποπεπλατυσμένη.

Δεν προκαλούν συμπτώματα για αυτό και δεν γίνονται αντιληπτά αμέσως.

Η θεραπεία τους είναι η χειρουργική αφαίρεση με τη χρήση νυστεριού ή laser.

Στο ιατρείο μας προτιμούμε την αφαίρεση των κονδυλωμάτων με τη χρήση laser λόγω των πλεονεκτήματων που παρουσιάζουν όπως ελάχιστη αιμορραγία, γρηγορότερη επούλωση, ελαχιστοποίηση πόνου και οιδήματος.

Καρκίνος από HPV ιό

Είναι γνωστό ότι ένας σημαντικός αριθμός καρκίνων της κεφαλής & τραχήλου οφείλεται σε ιούς.

Γενικά υπάρχει ομοφωνία ότι οι HPV ιοί έχουν ογκογόνο δυναμικό. Έχει καταδειχτεί η αιτιολογική τους συσχέτιση στον καρκίνο του τραχήλου της μήτρας.

Οι απόψεις συγκλίνουν ότι έχει επιβεβαιωθεί ο ρόλος του HPV ιού ως παράγοντα κινδύνου για ανάπτυξη καρκίνου στην περιοχή των αμυγδαλών και του στοματοφάρυγγα .

Έτσι λοιπόν ο HPV(+) στοματοφαρυγγικός καρκίνος αποτελεί μια ξεχωριστή κλινική και μοριακή οντότητα με μικρή ή καμία σχέση με το κάπνισμα και το αλκοόλ.

Για τις υπόλοιπες περιοχές και τη στοματική κοιλότητα , οι κυριότεροι αιτιολογικοί παράγοντες για την κακοήθη εξαλλαγή εξακολουθούν να είναι το κάπνισμα και το αλκοόλ. 
Πρόσφατες επιδημιολογικές μελέτες υποστηρίζουν ότι οι HPV ιοί λειτουργούν ως υποκινητές της ογκογένεσης σε αυτές τις περιοχές.
 Φαίνεται λοιπόν ότι παίζουν μικρότερο ρόλο στον καρκίνο της στοματικής κοιλότητας και η ανίχνευση των ογκοπρωτεϊνών των ιών πιθανόν οφείλεται σε άλλους παράγοντες.

Οι υψηλού κινδύνου τύποι HPV δεν προσβάλλουν με την ίδια συχνότητα όλες τις περιοχές της περιοχής κεφαλής- τραχήλου.

Ο καρκίνος του στοματοφάρυγγα περιλαμβάνει κακοήθη νεοπλάσματα που εντοπίζονται:

  • στη βάση της γλώσσας
  • στη γλωσσική αμυγδαλή
  • στη μαλθακή υπερώα
  • στη σταφυλή
  • στις αμυγδαλές
  • στο στοματοφάρυγγα

Πρόσφατες μελέτες αποδεικνύουν ότι ο καρκίνος του στόματος και του στοματοφάρυγγα αποτελούν 2 διακριτά νοσήματα με διαφορετική βιολογία, παθογένεση και πρόγνωση.

Σημεία – Συμπτώματα

 

Η πλειονότητα των ασθενών προσέρχεται για εξέταση γιατί έχει παρατηρήσει μια εμμένουσα μάζα ή διόγκωση στην περιοχή του τραχήλου.

Ορατή στοματική βλάβη με τη μορφή ογκιδίου εξελκωμένου ή μη παρατηρείται σε μικρό ποσοστό των ασθενών.

Άλλα συμπτώματα που μπορεί να παρουσιαστούν είναι δυσκαταποσία, πονόλαιμος, αίσθηση ξένου σώματος, ωταλγία και σπανιότερα τρισμός (αδυναμία πλήρους διάνοιξης του στόματος).

Αν τα παραπάνω συμπτώματα επιμένουν ο ασθενής θα πρέπει να αναζητήσει ιατρική βοήθεια άμεσα.

 

 

Θεραπεία

 

Η θεραπεία του HPV(+) στοματοφαρυγγικού καρκίνου εξαρτάται από τη σταδιοποίηση της νόσου.

Συνήθως συνίσταται στη χειρουργική αφαίρεση σε συνδυασμό με ακτινοθεραπεία ή/και χημειοθεραπεία.

Σημαντικός είναι ο ρόλος του στοματολόγου τόσο για τη διάγνωση όσο και κατά τη διάρκεια της θεραπείας για την αντιμετώπιση των επιπλοκών στη στοματική κοιλότητα που προκαλούνται από την ακτινοθεραπεία και τη χημειοθεραπεία.

Πρόληψη

 

Η πρόληψη της εμφάνισης νοσημάτων από τον HPV ιό είναι ζωτικής σημασίας, αφού ο HPV ιός είναι υπεύθυνος για τον καρκίνο του τραχήλου της μήτρας, για κάποιες περιπτώσεις ακανθοκυτταρικού καρκινώματος στοματοφάρυγγα αλλά και για καλοήθεις βλάβες όπως θηλώματα, κονδυλώματα κ.λπ.

Για αυτό το λόγο είναι απαραίτητος ο εμβολιασμός κατά του HPV ιού.

Είναι πλέον διαθέσιμο το 9-δύναμο εμβόλιο.

Το εμβόλιο αυτό είναι κατάλληλο για παιδιά άνω των 9 ετών, εφήβους και ενήλικες. Χορηγείται για να προστατεύσει από τα νοσήματα που προκαλούνται από τους τύπους 6, 11, 16, 18, 31, 33, 45, 52 και 58 του HPV ιού.

Επιβάλλεται να αυξηθεί η ευαισθητοποίηση των ατόμων για λήψη προληπτικών μέτρων.

Για το σκοπό αυτό οι ασθενείς πρέπει να διδαχθούν πώς να εξετάζουν τη στοματική τους κοιλότητα.

Η αυτοεξέταση είναι απλή, εύκολη και σώζει ζωές.

Εξίσου σημαντικός είναι και ο τακτικός έλεγχος της στοματικής κοιλότητας από στοματολόγο για την διάγνωση και έγκαιρη αντιμετώπιση βλαβών από τον HPV ιό.